Sonstiges

Was wir Ihnen noch so anbieten können

Individueller Sport-Mundschutz
Das Tragen eines individuell hergestellten Sport-Mundschutzes ist eine einfache und wirkungsvolle Schutzmaßnahme, um sportbedingten Verletzungen der Zähne und der Kiefer vorzubeugen. Der individuelle Sport-Mundschutz besteht aus einem weichen Kunststoff und wird anhand eines individuellen Gebissabdruckes gefertigt. Durch seine exakte Passfähigkeit wird gewährleistet, dass die bei Schlag und Stoß auftretenden Kräfte breitflächig abgeleitet werden. Damit werden nicht nur Zähne und Zahnfleisch geschützt, sondern auch das Risiko von Lippen- und Zungenverletzungen sowie Kieferbrüchen reduziert. Zusätzlich wird die Gefahr einer Gehirnerschütterung eingedämmt.

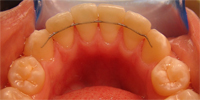
Kleberetainer
Um das Ergebnis einer kieferorthopädischen Behandlung zu sichern, bedarf es einer langfristigen Stabilisierung der Zahnstellung. Als komfortable Variante bietet sich ein an der Innenseite der vorderen Zähne mit Kunststoff befestigter Haltedraht, der sogenannte Kleberetainer an. Von außen nicht sichtbar gewährleistet er eine Langzeitstabilisierung der erreichten Zahnstellung.